팝업
닫기
ENG
CHN
RUS
MNG
logo
병원소개
진료안내
무릎관절
어깨관절
수부/족부
척추/고관절
척추뇌신경
내과/검진센터
열린마당
병원장인사말
국제바로병원역사관
병원이념
의료진소개
병원둘러보기
의료사회사업
찾아오시는 길
진료예약안내
진료예약
비급여항목
제증명서류발급
전문의 상담
24시 응급실
퇴행성관절염
반월상연골판손상
연골연화증
인대손상
십자인대파열
하지정맥류
치료센터
오십견
회전근개파열
퇴행성관절염
어깨충돌증후군
석회화건염
습관성탈구
관절와순파열
치료센터
손저림
손목터널 증후군
테니스엘보우
방아쇠수지
무지외반증
족저근막염
아킬레스건 파열
발목인대파열
내성발톱,무좀
치료센터
척추관협착증
디스크탈출증
척추전방전위증
척추압박골절
척추측만증
거북목/일자목
근막통증증후군
대퇴골두무혈성괴사
대퇴골두 골단분리증
치료센터
두통
치매
뇌졸중
어지럼증
손발저림
내과센터
유방갑상선외과센터
종합검진센터
(장애인)검진예약
병원소식
언론정보
쿡TV(유튜브영상)
전문의건강백서
해외의료교류
스타들의 방문
고객의소리
무릎관절
퇴행성관절염
무릎관절
병원소개
진료안내
무릎관절
어깨관절
수부/족부
척추/고관절
척추뇌신경
내과/검진센터
열린마당
멤버쉽
퇴행성관절염
퇴행성관절염
반월상연골판손상
연골연화증
인대손상
십자인대파열
하지정맥류
치료센터
퇴행성관절염
무릎 연골의 퇴행성 변화
로 관절을 보호하고 있는 연골 및 관절을 이루는 뼈와 인대 등에 손상이 일어나 염증과 통증이 생기는 질환입니다.
국제바로병원
무릎관절센터 치료정보
3세대 AI 로봇기술
로봇인공관절수술
빠른 회복을 위한 이중다발
전후방십자인대재건술
배양된 줄기세포 주입
줄기세포치료술(카티스템)
모니터를 통해 진단과 함께
관절내시경수술
주요 원인과 증상
원인
· 노화로 인한 퇴행성 변화
· 외부의 충격으로 인한 연골의 손상
· 반복되는 작업이나 생활 습관
증상
· 계단을 오르내릴 때 무릎의 시큰거림
· 앉았다 일어날때, 자세를 바꿀때 통증 발생
· 관절의 뻣뻣함, 부종 발생
· 서있을 때 무릎 사이의 주먹만큼의 틈이 생김
· 심할경우 통증으로 인한 수면의 어려움
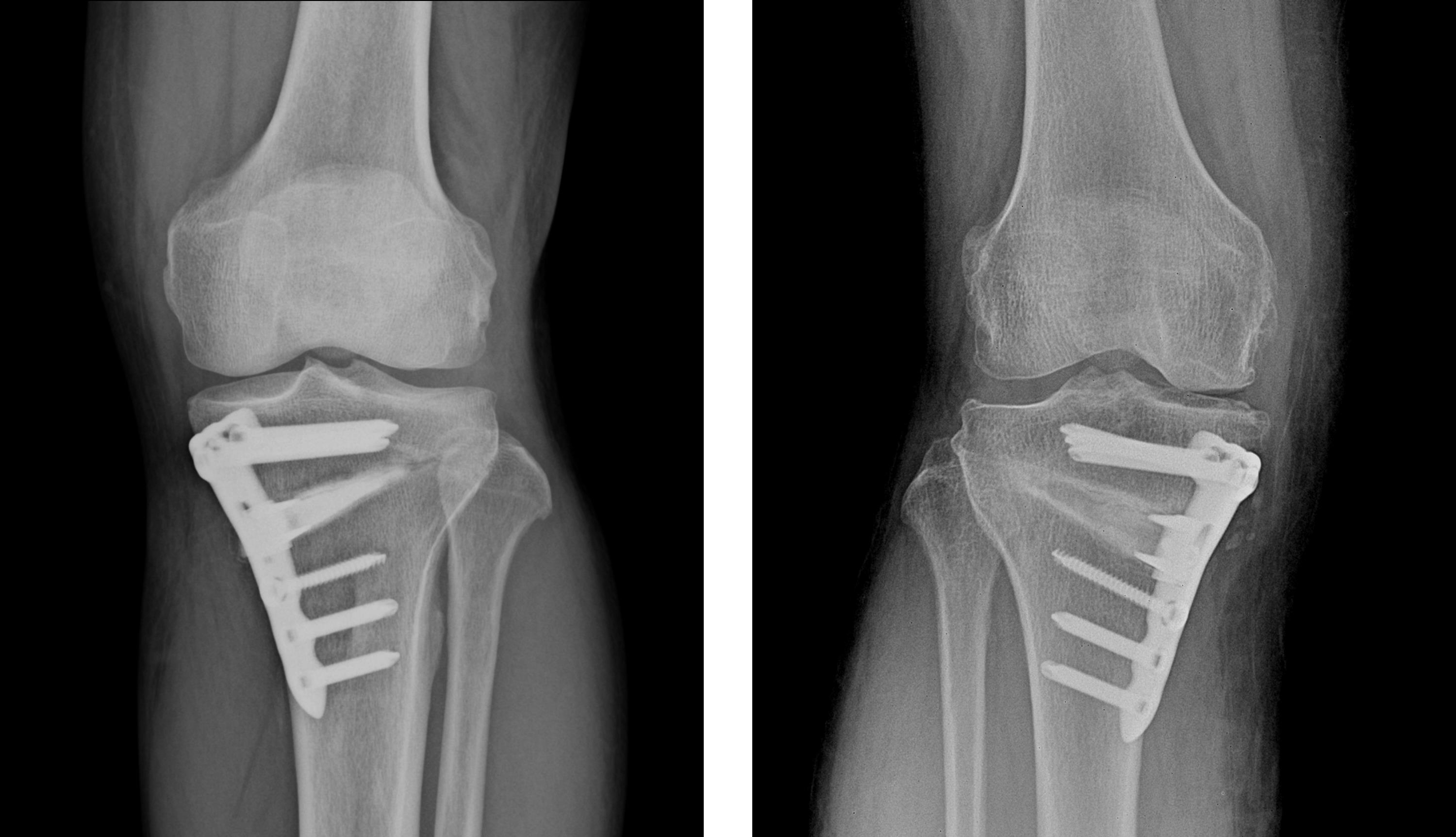
치료
보존적 치료
초기에는 증상완화를 위해 약물치료, 주사치료, 운동치료 등을 시행합니다.
수술적 치료
관절 연골 손상이 심한 경우 인공관절수술, 관절내시경수술, 연골판재생술, 절골술, 줄기세포치료술 등의 수술적 치료를 시행합니다.
흰다리교정수술(절골술)
인공관절수술
032
722
8585
진료예약
온라인상담
제증명발급
의료진소개
오시는길
24시간 응급실
TOP
TOP
진료예약
제증명발급
찾아오시는길
24시간 응급실