팝업
닫기
척추/고관절
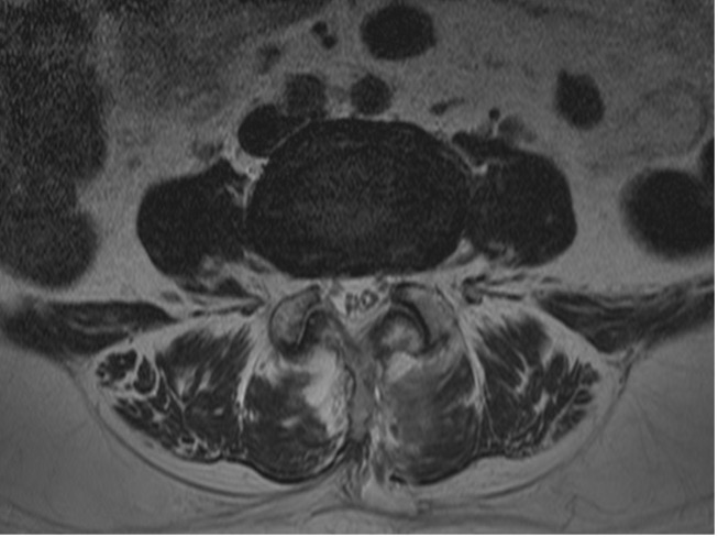
척추관협착증
척추관협착증
척추관협착증이란어떤 원인으로 척추 중앙의 척추관, 신경근관 또는 추간공이 좁아져 허리의 통증의 유발하거나 다리에 여러 복합적인 신경증세를 일으키는 질환입니다.
디스크를 구성하는 수핵과 섬유륜에 퇴행성 변화가 일어나고 척추관을 구성하는 뼈와 인대 등이 두꺼워져 척추 뼈가 어긋나는 경우 척추 신경을 눌러 통증을 일으킵니다.
주요 원인과 증상
원인
· 노화로 인한 퇴행성 변화
· 척추에 무리가 되는 생활습관
· 외상으로 인한 척추 부분 손상
· 선천적 요인
증상
· 보행시 허벅지와 종아리에 통증 및 저림증상 발생
· 허리의 심한 통증보다는 묵직한 불편함
· 장시간 보행을 하지 못하고 화끈거리는 느낌
· 다리 전체에 힘이 빠지고 마비가 되는 느낌
· 심할 경우 배뇨, 배변 장애 발생
치료
보존적 치료
척추관 협착증은 증상이 서서히 진행되는 경우가 많아 당장 수술이 필요한 경우는 드뭅니다. 비 수술 치료와 운동치료를 병행하며 비수술치료시 신경차단술, 신경성형술, 협착부위 풍선확장술 등 을 통해 질환을 호전시킵니다.
시술적 치료
척추체보강술, 신경성형술, 풍선확장술, 추간공 확장술 등을 통해 치료합니다.
수술적 치료
비수술 치료에도 증상이 호전되지 않거나 보행 장애가 심각한 등 일상생활에 지장이 있다면 수술 치료를 시행하며 양방향척추내시경 및 미세현미경레이져수술, 척추유합술 등을 통해 치료합니다.
수술 전
수술 후
수술 전
수술 후